- CITY GUIDE
- PODCAST
-
11°
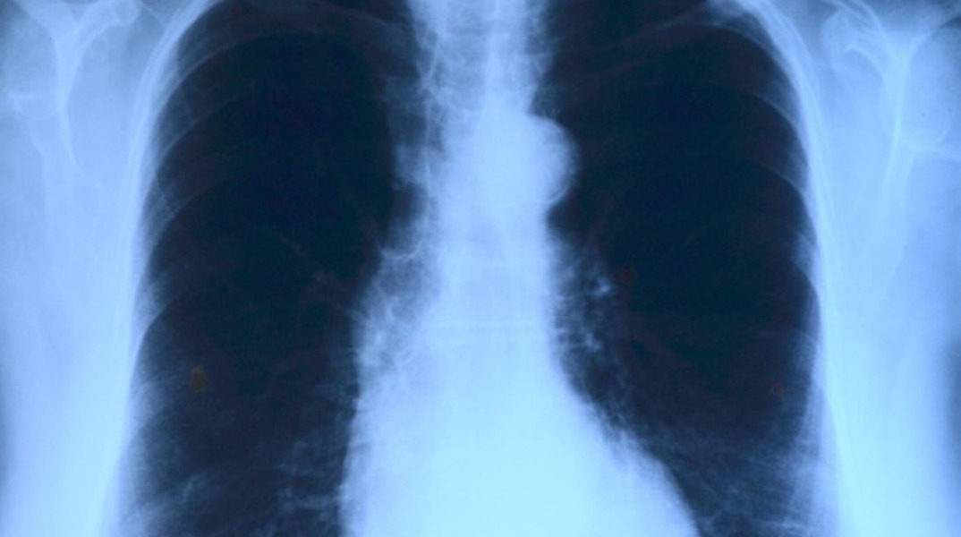
Σύστημα τεχνητής νοημοσύνης της Google σε ρόλο ακτινολόγου
Μπορεί να μελετήσει ακτινογραφίες πνευμόνων και να βγάλει αξιοπιστα συμπεράσματα
Ένα νέο σύστημα τεχνητής νοημοσύνης της Google ερμηνεύει τις ακτινογραφίες των πνευμόνων εξίσου καλά με έμπειρους ακτινολόγους.
Ένα νέο σύστημα τεχνητής νοημοσύνης της Google Health, θυγατρικής της Google στο πεδίο της «έξυπνης» υγείας, μπορεί να μελετήσει ακτινογραφίες πνευμόνων και να βγάλει συμπεράσματα εξίσου αξιόπιστα με εκείνα των έμπειρων ακτινολόγων. Το σύστημα βαθιάς μάθησης της Google, σύμφωνα με τους δημιουργούς του, μπορεί να αποτελέσει πολύτιμο βοηθό των γιατρών στο μέλλον.
Οι ερευνητές, που έκαναν τη σχετική δημοσίευση στο περιοδικό «Radiology» της Ακτινολογικής Εταιρείας της Βόρειας Αμερικής, εκπαίδευσαν το σύστημά τους τροφοδοτώντας το με περισσότερες από 860.000 ακτινογραφίες. Η ακτινογραφία πνευμόνων είναι από τις συχνότερες εξετάσεις παγκοσμίως, όμως έχει ορισμένους περιορισμούς.
«Βρήκαμε ότι υπεισέρχεται σε μεγάλο βαθμό ο υποκειμενικός παράγοντας στην ερμηνεία της συγκεκριμένης ακτινογραφίας, κάτι που περιορίζει την αποτελεσματικότητά της», ανέφερε ο επικεφαλής ερευνητής της Google Health, Σράβια Σέτι.
«Η ερμηνεία των ακτινογραφιών των πνευμόνων συχνά γίνεται με υποκειμενικό τρόπο, κάτι προβληματικό από την οπτική γωνία της βαθιάς μάθησης. Καταφέραμε να παράγουμε ένα σύστημα που κάνει πιο αξιόπιστη αξιολόγηση», δήλωσε ο συνάδελφός του, Ντάνιελ Τσε.
Οι δοκιμές του συστήματος από επιτροπή ακτινολόγων έδειξαν ότι τα καταφέρνει τουλάχιστον εξίσου καλά με τους γιατρούς στην ανίχνευση διαφόρων προβλημάτων (διάγνωση καταγμάτων, οζιδίων, όγκων, πνευμοθώρακα κ.ά.).
ΤΑ ΠΙΟ ΔΗΜΟΦΙΛΗ
ΔΕΙΤΕ ΕΠΙΣΗΣ
Από τα ζεστά αφεψήματα μέχρι την παραδοσιακή ιατρική, αποδεικνύεται πολύτιμο για υγεία και ευεξία
Δες πώς ένας δεκάλεπτος περίπατος μπορεί να βελτιώσει την υγεία και τη διάθεσή σου
Το μυαλό τρέχει σε σκέψεις και αρνητικά σενάρια κι εμείς βουλιάζουμε σαν να βρισκόμαστε σε μια κινούμενη άμμο
Δεν είναι σεξιστικό το ζήτημα, αλλά αφορά τη διαφορετική λειτουργία του οργανισμού των δύο φύλων
Συνομιλία με τον γιατρό-διδάκτορα Ιστορίας και Φιλοσοφίας της Επιστήμης Γιώργο Μπούτλα
Υπολογίζεται ότι το 5% του παγκόσμιου πληθυσμού υποφέρει από αυτό
Η μετάδοση του ιού γίνεται κυρίως μέσω σωματικών υγρών
Αν είσαι γυναίκα, τα αθλητικά σου παπούτσια έχουν πρόβλημα και ίσως το είχες καταλάβει
Δύο οπτικές από την Gilead Sciences: Πώς η ιατρική επιστήμη και η επικοινωνία γίνονται σύμμαχοι στη μάχη κατά του κοινωνικού φόβου
Ναι, το ''δωράκι'' που κρύβει η πρώτη πάνα αποκαλύπτει πολλά περισσότερα απ΄όσα ξέραμε μέχρι σήμερα
Πώς η σαρκοπενία οδηγεί σε μειωμένη ενέργεια και κινητικότητα
Ανοίγει τον διάλογο για τον εμβολιασμό κατά του ιού των ανθρωπίνων θηλωμάτων
Πρωτοποριακές, πολυλειτουργικές πλατφόρμες απεικόνισης
Στη Μαδρίτη, με Έλληνα ογκολόγο μεταξύ των συμμετεχόντων
Ταινία μικρού μήκους για τις σπάνιες παθήσεις
Τι έδειξε πρόσφατη μελέτη
Ο πρώτος παράγοντας είναι ο κιρκάδιος ρυθμός, το εσωτερικό μας ρολόι
Οι δεξιότητες που παραμένουν αποκλειστικά ανθρώπινες
Ο δεκάλογος του αποκλεισμού και της ευαλωτότητας
5 & 6 Δεκεμβρίου στο Γ.Ν.Α. Κοργιαλένειο – Μπενάκειο Ε.Ε.Σ., «Δρακοπούλειο» Αμφιθέατρο Ψυχιατρικού Τομέα
Έχετε δει 20 από 200 άρθρα.