- CITY GUIDE
- PODCAST
-
17°
Γιατροί βρήκαν μίνι εγκέφαλο μέσα στην ωοθήκη ενός κοριτσιού 16 ετών (εικόνες)
Ιαπωνία: Ανακαλύφθηκε τυχαία σε χειρουργική επέμβαση
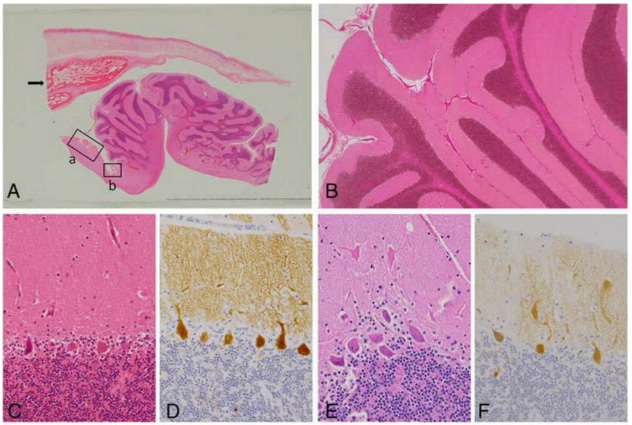
Ένας όγκος που περιείχε ένα μίνι-εγκέφαλο, βρέθηκε να αναπτύσσεται στην ωοθήκη ενός 16χρονου κοριτσιού στην Ιαπωνία. Ο πλάτους δέκα εκατοστών όγκος ανακαλύφθηκε τυχαία, όταν το κορίτσι υποβλήθηκε σε χειρουργική επέμβαση για την αφαίρεση σκωληκοειδούς απόφυσης.
Όταν οι γιατροί άνοιξαν τον όγκο, βρήκαν μέσα σε αυτόν ένα σύμπλεγμα από τρίχες, ένα εγκεφαλικό ιστό πλάτους τριών εκατοστών και μια λεπτή πλάκα από οστό κρανίου.
Η προσεκτική εξέταση στη συνέχεια έδειξε ότι επρόκειτο για ένα είδος μικρής παρεγκεφαλίδας, η οποία στη μία πλευρά της έμοιαζε να διαθέτει εγκεφαλικό στέλεχος (το τμήμα που συνδέεται με το νωτιαίο μυελό).

Κατά καιρούς οι όγκοι των ωοθηκών έχουν βρεθεί να περιέχουν ξένους ιστούς, όπως τρίχες, δόντια, χόνδρο, λίπος και μυς. Οι εν λόγω όγκοι, συνήθως καλοήθεις, αποκαλούνται τερατώματα. Αν και η αιτία τους είναι άγνωστη, μια πιθανή εξήγηση είναι ότι οφείλονται σε ανώριμα ωάρια, τα οποία με ανεξέλεγκτο τρόπο παράγουν διάφορα μέρη του σώματος.
Εγκεφαλικά κύτταρα έχουν συχνά ανακαλυφθεί σε τερατώματα των ωοθηκών, αλλά είναι εξαιρετικά ασυνήθιστο να φθάσουν σε τέτοιο σημείο οργάνωσης που να μοιάζουν πια με εγκέφαλο, όπως στην περίπτωση του κοριτσιού.
Το κορίτσι πάντως δεν εμφάνιζε κάποια συμπτώματα, νευρολογικά ή άλλα, και δεν είχε ιδέα για το τι περιείχε η ωοθήκη της. Ο όγκος τελικά αφαιρέθηκε χωρίς περαιτέρω επιπλοκές.

Άλλες όμως περιπτώσεις γυναικών με τερατώματα ωοθηκών έχει αναφερθεί ότι εμφάνισαν αλλαγή προσωπικότητας, παρανοϊκές σκέψεις, σύγχυση, ευερεθιστότητα, επιληπτικές κρίσεις, απώλεια μνήμης κ.α. Αυτό μπορεί να οφείλεται στο ότι το ανοσοποιητικό σύστημα αντιλαμβάνεται τα εγκεφαλικά κύτταρα μέσα στην ωοθήκη ως ξένο σώμα και τους επιτίθεται.
Οι γιατροί, με επικεφαλής τον Μασαγιούκι Σιντάκου του Ιατρικού Κέντρου Σίγκα της Ιαπωνίας, έκαναν τη σχετική δημοσίευση στο περιοδικό νευροπαθολογίας «Neuropathology», σύμφωνα με το «New Scientist».
Δείτε και εδώ.
ΤΑ ΠΙΟ ΔΗΜΟΦΙΛΗ
ΔΙΑΒΑΖΟΝΤΑΙ ΠΑΝΤΑ
ΔΕΙΤΕ ΕΠΙΣΗΣ
Τι αναφέρει το δημοσίευμα της Wall Street Journal
Ο δεύτερος γύρος θα γίνει την ερχόμενη Κυριακή
Το Ιράν προειδοποιεί άλλες χώρες κατά «οποιασδήποτε ενέργειας» που θα μπορούσε να κλιμακώσει τον πόλεμο
Ο εκπρόσωπος του ισραηλινού στρατού δήλωσε στο CNN ότι ο ισραηλινός στρατός «δεν δουλεύει με το χρονόμετρο ή βάση χρονοδιαγράμματος»
Tο 72% των προγραμματισμένων αποδεσμεύσεων αφορά αργό πετρέλαιο
Τι αναφέρει το δημοσίευμα της Daily Mail
Τόνισε ότι η Τεχεράνη δεν ζήτησε ποτέ κατάπαυση του πυρός και δεν σκοπεύει να εμπλακεί σε διαπραγματεύσεις με τις ΗΠΑ
Μια σειρά άρθρων που εξηγεί βήμα προς βήμα την ιστορία του Κυπριακού για όσους θέλουν να το καταλάβουν καλύτερα
Οι υπουργοί Εξωτερικών της Ευρωπαϊκής Ένωσης θα συζητήσουν για μια πιθανή επέκταση της ναυτικής αποστολής
«Πεθαίνω... για καφέ» αναφέρει σε ανάρτησή του, σατιρίζοντας τις φήμες ότι έχει πεθάνει
Συνεχείς οι αναχαιτίσεις ιρανικών drones και πυραύλων στις χώρες του Κόλπου
Ο πρώτος Αμερικανός ποντίφικας προειδοποίησε πως η βία δεν θα οδηγήσει στην απονομή της δικαιοσύνης
Η Κεντροδεξιά πολιορκεί το Παρίσι και η Ακροδεξιά τη Μασσαλία - Στο 20% η συμμετοχή το μεσημέρι
Η κυβέρνηση Νετανιάχου ενέκρινε συμπληρωματικό προϋπολογισμό για άμεσες αγορές οπλισμού
«Προμήθεια συναλλαγής» φέρνει δισεκατομμύρια στα ταμεία για τον έλεγχο της δημοφιλούς πλατφόρμας
Ανάληψη ευθύνης με βίντεο-ντοκουμέντο από την Ashab Al Yamim - «Κύμα αντισημιτισμού» καταγγέλλει το Τελ Αβίβ
Συνελήφθη ο δράστης - Ερευνώνται καταγγελίες για αντι-ισλαμικά συνθήματα
Ο Αμερικανός πρόεδρος απορρίπτει το ενδεχόμενο άμεσης ειρήνης με την Τεχεράνη
Οι δύο ήταν «μεταξύ των πιο σημαντικών προσώπων στην ιρανική κοινότητα πληροφοριών»
Ο Ντόναλντ Τραμπ επανέλαβε σήμερα το κάλεσμά του προς άλλες χώρες να βοηθήσουν στην ασφάλεια των Στενών του Χορμούζ
Έχετε δει 20 από 200 άρθρα.