- CITY GUIDE
- PODCAST
-
17°
Σκουλήκι ζούσε επί τέσσερα χρόνια στον εγκέφαλο ενός άντρα
Του προκαλούσε πονοκεφάλους αλλά και ξαφνικές αναλαμπές μνήμης
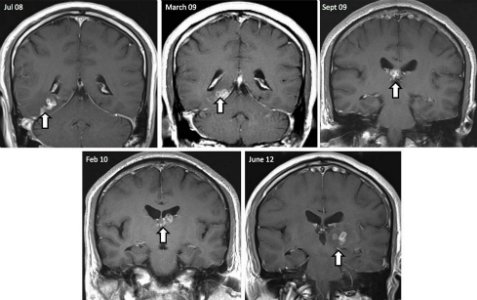
Βρετανοί επιστήμονες ανακάλυψαν ένα σπάνιο σκουλήκι – ταινία στον εγκέφαλο ενός 50χρονου Κινέζου. Πρόκειται για σκουλήκι που ως παράσιτο συνήθως μολύνει σκύλους, γάτες και άλλα ζώα. Οι γιατροί διαπίστωσαν ότι το σκουλήκι – ταινία είχε μήκος ένα εκατοστό, ζούσε τουλάχιστον επί τέσσερα χρόνια μέσα στο κεφάλι του άνδρα και του προκαλούσε τρομερούς πονοκεφάλους, επιληπτικές κρίσεις, αλλοίωση της αίσθησης της όσφρησης, ξαφνικές αναλαμπές μνήμης και άλλα νευρολογικά συμπτώματα.

Οι επιστήμονες μελέτησαν το DNA του παράσιτου, το οποίο ήταν ασυνήθιστα μεγάλο και πολύπλοκο, γεγονός που, όπως είπαν, εξηγεί πώς κατάφερε να διεισδύσει σε έναν άνθρωπο, να προσαρμοστεί και να μακροημερεύσει μέσα στον εγκέφαλό του για τόσο μεγάλο διάστημα. Σύμφωνα με τους επιστήμονες το γονιδίωμά του περιείχε περίπου δεκαπλάσιο DNA από οποιοδήποτε άλλο σκουλήκι - ταινία έχει ως τώρα μελετηθεί γενετικά και είναι σχεδόν το ένα τρίτο του ανθρώπινου γονιδιώματος.
Να σημειωθεί ότι οι γιατροί στο βρετανικό νοσοκομείο προσπαθούσαν επί χρόνια να καταλάβουν τι προκαλούσε τα συμπτώματα στον άνδρα, αλλά παρ’ όλη την πληθώρα των εξετάσεων είχαν αποτύχει να βρουν την αιτία, ώσπου αναγκάστηκαν να καταφύγουν σε εγχείρηση. Εκεί, βρήκαν το σκουλήκι «θρονιασμένο» σε σχήμα κορδέλας στη δεξιά πλευρά του εγκεφάλου. Οι γιατροί φοβούνταν ότι ο ασθενής έπασχε από καρκίνο.To πώς ο συγκεκριμένος άτυχος άνδρας μολύνθηκε με το σκουλήκι, παραμένει άγνωστο. Οι ειδικοί εκτιμούν ότι πιθανώς συνέβη όταν έφαγε μολυσμένο κρέας ή ήπιε μολυσμένο νερό στην Κίνα. Αυτό σημαίνει ότι το σκουλήκι ταξίδεψε από το στομάχι έως το κεφάλι του.
Η γενετική ανάλυση -μετά από βιοψία- από τους επιστήμονες του Ινστιτούτου Wellcome Trust Sanger του Κέμπριτζ, με επικεφαλής τη Χέιλι Μπένετ, που έκαναν τη σχετική ανακοίνωση στο περιοδικό βιολογίας και γενετικής «Genome Biology», έδειξε ότι επρόκειτο για ένα σπάνιο είδος σκουληκιού - ταινίας, το Spirometra erinaceieuropaei, που ενδημεί στην ανατολική Ασία. Το παράσιτο ξεκινά τη ζωή του στο νερό μολύνοντας αρχικά υδρόβιους οργανισμούς, τους οποίους μετά τρώνε τα ερπετά και τα αμφίβια, όπως οι βάτραχοι και τα φίδια. Τελικά η ταινία καταλήγει στο στομάχι μεγαλύτερων σαρκοβόρων, όπως οι σκύλοι και οι γάτες, όπου μπορεί να φθάσει ακόμη και το ενάμισι μέτρο σε μήκος (τυλιγμένο σαν ταινία).
Μόνο 300 ανθρώπινες μολύνσεις έχουν αναφερθεί από το 1953 και από αυτές μόνο δύο στην Ευρώπη. Μέχρι σήμερα, το σκουλήκι είχε βρεθεί συνήθως κάτω από το ανθρώπινο δέρμα, στους πνεύμονες ή σε όγκους στο στήθος.
ΤΑ ΠΙΟ ΔΗΜΟΦΙΛΗ
ΔΙΑΒΑΖΟΝΤΑΙ ΠΑΝΤΑ
ΔΕΙΤΕ ΕΠΙΣΗΣ
Αμέτρητες έρευνες δείχνουν πόσο επιζήμια είναι η κατάχρηση των Social Media στην παιδική ιδίως ηλικία
Τι είναι το «juice jacking» και πώς μια απλή αλλαγή στις ρυθμίσεις USB μπορεί να θωρακίσει τα δεδομένα σας
Το φαράγγι μήκους περίπου 450 χιλιομέτρων και βάθους που ξεπερνά το 1,8 χιλιόμετρο
Όταν ο φωτογράφος και ο σκηνοθέτης δίνουν τη θέση τους στον αλγόριθμο
Ένας φιλόσοφος του νου και της ηθικής στην επιχείρηση Τεχνητής Νοημοσύνης
«Τα παιδιά δεν χρειάζονται πανικό, αλλά εκπαίδευση»
Η ανάλυση βασίστηκε σε 17 μελέτες με περισσότερους από 20.000 ασθενείς
Επιτέλους, η πόλη στα μέτρα σου
Μια αόρατη εργατική δύναμη που τροφοδοτεί με πληροφορίες την ΑΙ
Τέλος στο «back button hijacking» - Αυστηρά μέτρα κατά της παραπλανητικής πρακτικής
Νέα μελέτη δείχνει ότι η χρήση chatbot μειώνει τη μακροπρόθεσμη μάθηση και δημιουργεί την «ψευδαίσθηση της γνώσης»
Αόρατα γενετικά ίχνη αποκαλύπτουν οικοσυστήματα, απειλές και βιοποικιλότητα σε πραγματικό χρόνο
Όταν η τεχνητή νοημοσύνη γίνεται εργαλείο επίθεσης και μετατρέπει την κυβερνοασφάλεια σε μαζική απειλή
Δες αν το χρησιμοποιείς σωστά...
Το υλικό περιλαμβάνει σπάνιες λήψεις της Γης να εμφανίζεται πίσω από τον ορίζοντα της Σελήνης
Το επόμενο εγχείρημα της Meta και η συνεργασία με τους υπαλλήλους
Η πλατφόρμα δίνει τη δυνατότητα στους χρήστες να απενεργοποιούν τα βίντεο, εξοικονομώντας δεδομένα
Τι αποκαλύπτουν οι καθημερινές μουσικές σας συνήθειες για το πώς σκέφτεστε και επεξεργάζεστε πληροφορίες
Προσθαλάσσωση στον Ειρηνικό Ωκεανό για το πλήρωμα της NASA - «Η αρχή μιας νέας εποχής»
Νέα έρευνα αποδεικνύει ότι η απλή ακρόαση μουσικής αρκεί για να εκπαιδεύσει το μυαλό μας να αναγνωρίζει μοτίβα
Έχετε δει 20 από 200 άρθρα.