- CITY GUIDE
- PODCAST
-
17°
Έρευνα: Οι γυναίκες χρησιμοποιούν περισσότερο τον εγκέφαλό τους
Η επιστήμη μίλησε - Οι γυναίκες παρουσιάζουν μεγαλύτερη ενσυναίσθηση, διαίσθηση και αυτοέλεγχο
Όλοι έχουμε ακούσει άντρες να λένε ότι δεν θα καταλάβουν ποτέ τι θέλουν οι γυναίκες και όλοι έχουμε ακούσει γυναίκες να αναρωτιούνται αν θα μπορέσουν ποτέ να συνεννοηθούν με άντρα. Γιατί, όμως, φαίνεται αυτή η έλλειψη αλληλοσυνεννόησης να είναι σταθερό σημείο της σχέσης των δύο φύλων, ανεξάρτητα από χώρες και εποχές; Διότι, όπως και να το κάνουμε, οι διαφορές μας δεν περιορίζονται μόνο στα εξωτερικά στοιχεία, στα όργανα αναπαραγωγής και στις ορμόνες, αλλά φτάνουν και στη λειτουργία των εγκεφάλων μας.
Σε περίπτωση, λοιπόν, που αναρωτιόσασταν, μία έρευνα του Πανεπιστημίου του Τέξας απέδειξε ότι είχατε δίκιο κάθε φορά που βάζατε στοίχημα ότι αποκλείεται ο εγκέφαλος του ατόμου του αντίθετου φύλου που έχετε μπροστά σας, να λειτουργεί με τον ίδιο τρόπο με τον δικό σας. Οι ερευνητές οδηγήθηκαν στο τελικό τους πόρισμα μετά τη μελέτη και τη σύγκριση 46.000 εγκεφαλογραφημάτων εθελοντών από εννιά διαφορετικές κλινικές, όπου παρατήρησαν σε ποιες περιοχές του εγκεφάλου η ροή του αίματος αυξανόταν κατά τη διάρκεια διαφορετικών δραστηριοτήτων αλλά και της ξεκούρασης.
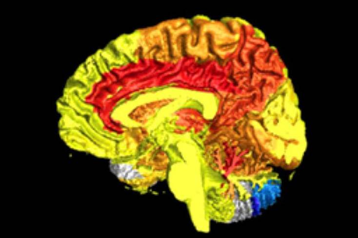
Με αυτόν τον τρόπο εντόπισαν τις 128 διαφορετικές εγκεφαλικές περιοχές που φαίνονται στην εικόνα. Από αυτές, οι κόκκινες είναι εκείνες στις οποίες οι γυναίκες εμφάνισαν αύξηση της ροής του αίματος και οι μπλε, αντίστοιχα, αυτές που η ροή αυξήθηκε στους άντρες.
Οι κόκκινες περιοχές σχετίζονται με τη συγκέντρωση, τις παρορμήσεις μας και τα συναισθήματα. Αυτό σημαίνει ότι οι γυναίκες παρουσιάζουν μεγαλύτερη ενσυναίσθηση, διαίσθηση και αυτοέλεγχο, ενώ έχουν μία τάση να δουλεύουν καλύτερα ομαδικά και είναι ικανές να φροντίζουν τους άλλους. Την ίδια, όμως, στιγμή είναι επιρρεπείς στην κατάθλιψη, σε αγχώδεις διαταραχές και στη νόσο του Αλτσχάιμερ.
Από την άλλη, η αύξηση της ροής του αίματος στις μπλε περιοχές υποδεικνύει ότι οι άντρες έχουν καλύτερο συντονισμό, οπτική κατανόηση και τα πηγαίνουν καλύτερα στις σωματικές δραστηριότητες. Παράλληλα, έχουν αρκετά λιγότερες πιθανότητες να νοσήσουν με Αλτσχάιμερ, αλλά είναι αρκετά πιθανό να πάσχουν από ADHD, δηλαδή διάσπαση προσοχής, ενώ οι ερευνητές επισημαίνουν ότι οι άντρες είναι κατά 1.400% πιθανότερο να καταλήξουν στη φυλακή.
Ωστόσο, θα πρέπει να σημειώσουμε ότι τίποτα από τα παραπάνω δεν είναι απόλυτο. Ένα μεγάλο (ίσως και το μεγαλύτερο) μέρος του πώς σκεφτόμαστε και συμπεριφερόμαστε αποδεδειγμένα σχετίζεται περισσότερο με τα βιώματά μας (ιδιαίτερα των μέχρι την ηλικία των 8 ετών), παρά με τη γενετήσια βιολογία μας. Οπότε, η έρευνα του Πανεπιστημίου του Τέξας έρχεται περισσότερο να μας υποδείξει τις προδιαθέσεις που τα δύο φύλα αντίστοιχα έχουμε, παρά το πώς πραγματικά λειτουργούμε τελικά στη ζωή μας.
ΤΑ ΠΙΟ ΔΗΜΟΦΙΛΗ
ΔΙΑΒΑΖΟΝΤΑΙ ΠΑΝΤΑ
ΔΕΙΤΕ ΕΠΙΣΗΣ
Έμφαση σε στοχευμένες παρεμβάσεις που αναδεικνύουν συγκεκριμένα σημεία
Ελληνικές startups παρουσιάζουν καινοτόμες λύσεις στον χώρο της υγείας
Ταχεία αποκατάσταση, μειωμένος πόνος και υψηλή ασφάλεια
Ένας τρόπος ζωής που αλλάζει το βιολογικό ρολόι
Η υπερβολική έλξη στα μαλλιά μπορεί να επιβαρύνει το θύλακα της τρίχας
Δεν υπάρχει «μαγική» τροφή, αυτές είναι οι διατροφικές συνήθειες που συνδέονται με καλύτερο ύπνο
Παγκόσμια Εβδομάδα Γλαυκώματος 8-14 Μαρτίου
Έγκριση από την Ευρωπαϊκή Επιτροπή
Οι ειδικοί εξηγούν τις πιο συχνές αιτίες και πότε αυτό αποτελεί σύμπτωμα κάποιας πάθησης
Η επιστημονική εξήγηση για τις άσπρες τρίχες και τον πολλαπλασιασμό τους
Μάρτιος, μήνας αφιερωμένος στην ευαισθητοποίηση του κοινού για τον καρκίνο του παχέος εντέρου
Οι γονείς δεν πρέπει να πανικοβάλλονται όταν το μωρό ξυπνάει τη νύχτα ή κοιμάται λιγότερες ώρες
Επιστήμονες κρούουν τον κώδωνα του κινδύνου για την υπερβολική λήψη συμπληρωμάτων
Περίπου το 10,6% των ανθρώπων είναι αριστερόχειρες
MSD & Όμιλος ΒΙΑΝΕΞ ενώνουν δυνάμεις για την προστασία του ενήλικου πληθυσμού
H σπάνια ζωή συναντήθηκε με την τέχνη, τον πολιτισμό και τον δημόσιο διάλογο
Ανησυχητικά στοιχεία για κοκαΐνη, αμφεταμίνες και κάνναβη - Ιδιαίτερα αυξημένος ο κίνδυνος για άτομα κάτω των 55
Επιστήμονας απαντά στο αν πρέπει να δίνουμε σημασία στους εφιάλτες μας και πότε
Οι ερευνητές προσπαθούν να εξηγήσουν γιατί η νόσος εμφανίζεται συχνότερα και εξελίσσεται διαφορετικά στις γυναίκες.
Κόκορες, καμπάνες, κεριά και άνθρωποι που χτυπούσαν παράθυρα - όλες οι παλιές μέθοδοι του πρωινού ξυπνήματος.
Έχετε δει 20 από 200 άρθρα.