- CITY GUIDE
- PODCAST
-
13°
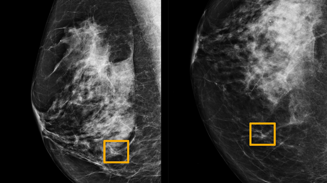
Google Health: Εντοπίζει τον καρκίνο του μαστού με τεχνητή νοημοσύνη
Με μεγαλύτερη ακρίβεια από τους ειδικούς όπως δείχνουν οι πρώτες δοκιμές
Πρόγραμμα τεχνητής νοημοσύνης από το Google Health φέρεται να εντοπίζει καλύτερα τον καρκίνο του μαστού στις μαστογραφίες από ό,τι οι ειδικοί γιατροί.
Πρόγραμμα τεχνητής νοημοσύνης (AI) φέρεται να εντοπίζει με μεγαλύτερη ακρίβεια τον καρκίνο του μαστού στις μαστογραφίες από ό,τι οι ειδικοί ακτινολόγοι.
Δημοσίευμα στον βρετανικό Guardian αναφέρει ότι το σύστημα AI, το οποίο έχει αναπτυχθεί από το Google Health, εντόπισε καρκίνους που οι ακτινολόγοι παράβλεψαν.
Σύμφωνα με το δημοσίευμα η ανάλυση των μαστογραφιών μέσω της τεχνολογίας μείωσε το ενδεχόμενο λάθους τόσο στο θετικό αποτέλεσμα, κατά το οποίο διαγιγνώσκεται καρκίνος σε υγιή άτομα λανθασμένα, όσο και στο αρνητικό αποτέλεσμα, κατά το οποίο δεν εντοπίζεται ο καρκίνος ενός ασθενή. Το σύστημα μείωσε τα ψευδώς θετικά αποτελέσματα κατά 5,7% στις Η.Π.Α., σύμφωνα με στοιχεία που περιλαμβάνουν πάνω από 28.000 μαστογραφίες που πραγματοποιήθηκαν εκεί και στο Ηνωμένο Βασίλειο.
«Είναι μια σημαντική απόδειξη το πώς μπορούν αυτές οι τεχνολογίες να βοηθήσουν αλλά και να ενισχύσουν το ανθρώπινο δυναμικό στον τομέα της υγείας», δήλωσε ο επικεφαλής του Google Health στο Ηνωμένο Βασίλειο, Ντόμινικ Κινγκ. «Η τεχνητή νοημοσύνης μας λέει: 'Πιστεύω ότι εδώ μπορεί να υπάρχει θέμα. Να το ελέγξουμε;'», πρόσθεσε.
Πέρυσι, η Google δημοσίευσε έρευνα που κατέδειξε πώς η τεχνολογία θα μπορούσε να χρησιμοποιηθεί για να εξακριβώσει εάν ο καρκίνος του μαστού έχει εξαπλωθεί στους λεμφαδένες, βοηθώντας τους παθολόγους να κάνουν πιο ακριβείς διαγνώσεις.
Η Google εκπαιδεύει επίσης την τεχνητή νοημοσύνη για να τη βοηθήσει να καθορίσει εάν ένας ασθενής είναι πιθανό να ζήσει ή να πεθάνει, εξετάζοντας και λαμβάνοντας υπόψη χιλιάδες δεδομένα προκειμένου να κάνει προβλέψεις για τα αποτελέσματα.
Ωστόσο, η εταιρεία διαπίστωσε ότι πρέπει να είναι ιδιαίτερα προσεκτική κατά τη χρήση δεδομένων ασθενών. Το 2017, οι βρετανικές ρυθμιστικές αρχές δήλωσαν ότι η μονάδα τεχνητής νοημοσύνης της Alphabet, DeepMind, παραβίασε το νόμο περί προστασίας δεδομένων της Βρετανίας όταν εξέτασε μια εφαρμογή που αναλύει τα δημόσια ιατρικά αρχεία χωρίς να ενημερώνει τους ασθενείς για το πώς θα χρησιμοποιηθούν οι πληροφορίες που τους αφορούν.
Τα αρχικά ευρήματα για τη μελέτη του καρκίνου του μαστού δημοσιεύθηκαν στο περιοδικό Nature. Η έρευνα διεξήχθη σε συνεργασία με την DeepMind, καθώς και με το Cancer Research U.K. Imperial Center, το Πανεπιστήμιο Northwestern και το νοσοκομείο Royal Surrey County.
ΤΑ ΠΙΟ ΔΗΜΟΦΙΛΗ
ΔΕΙΤΕ ΕΠΙΣΗΣ
Στις δοκιμές που έγιναν οι ερευνητές κατάφεραν να ανταλλάξουν ακόμη και γυμνό υλικό
Kαθώς πλέον ανταγωνίζεται μια ανεξάντλητη ποσότητα περιεχομένου που παράγεται μαζικά, γρήγορα και σχεδόν δωρεάν
Τα βίντεο, καλοφτιαγμένα και πειστικά, παραπλανούν ανυποψίαστους χρήστες
Η Κομισιόν επέβαλε το πρώτο πρόστιμο βάσει του Νόμου για τις Ψηφιακές Υπηρεσίες
Η κυκλοφορία του Black Ops 7 απογοήτευσε, με πτώση πωλήσεων και λιγότερους ενεργούς παίκτες
Δημιουργείται ένας από τους μεγαλύτερους κόμβους τεχνητής νοημοσύνης σε Ασία-Ειρηνικό
«Έπεσαν» Canvas και Zoom
...και τα βρίσκουμε στα ρούχα μας ή ακόμα και μέσα στον κάδο και στα λοιπά τμήματα της συσκευής
Συνομιλία με έναν φιλόσοφο στην εποχή της Τεχνητής Νοημοσύνης
Ανάλυση γενετικού υλικού από πίσσα σημύδας στην Εσθονία φέρνει στο φως σκηνές της Λίθινης Εποχής
Mελέτες αρχαιολόγων στην Καταλονία - Xρησιμοποιούνταν για επικοινωνία και μουσική έκφραση πριν από 6.000 χρόνια
Νέα ενημέρωση Android καταργεί την ιδιωτικότητα στα εταιρικά κινητά
Η αποστολή Perseverance της NASA κατέγραψε ηλεκτρικές εκκενώσεις στην ατμόσφαιρα του πλανήτη
Έρευνα διαπιστώνει ότι το δωρεάν chatbot της OpenAI αποτυγχάνει να εντοπίσει επικίνδυνες συμπεριφορές
Δείτε τον σεισμικό χάρτη της χώρας
Ακόμη και έτσι όμως, οι γονείς ζουν με συνεχή αγωνία
Ανοιχτή επιστολή εκφράζει ανησυχίες για απώλεια θέσεων εργασίας και κλιματικές επιπτώσεις
Ακυκλοφόρητη σκηνή θα κάνει πρεμιέρα σε animation μικρού μήκους στο βιντεοπαιχνίδι
Η ιστορία που έχει συγκλονίσει τον κόσμο
Εικόνες υψηλής ανάλυσης από την Ανταρκτική και τη Γη του Πυρός, μόλις 50 ώρες μετά την εκτόξευση
Έχετε δει 20 από 200 άρθρα.