- CITY GUIDE
- PODCAST
-
17°
Απίστευτο: Μεθυσμένος ξέχασε ότι τον μαχαίρωσαν και έμεινε με τη λεπίδα στο κεφάλι για 84 ώρες (εικόνες)
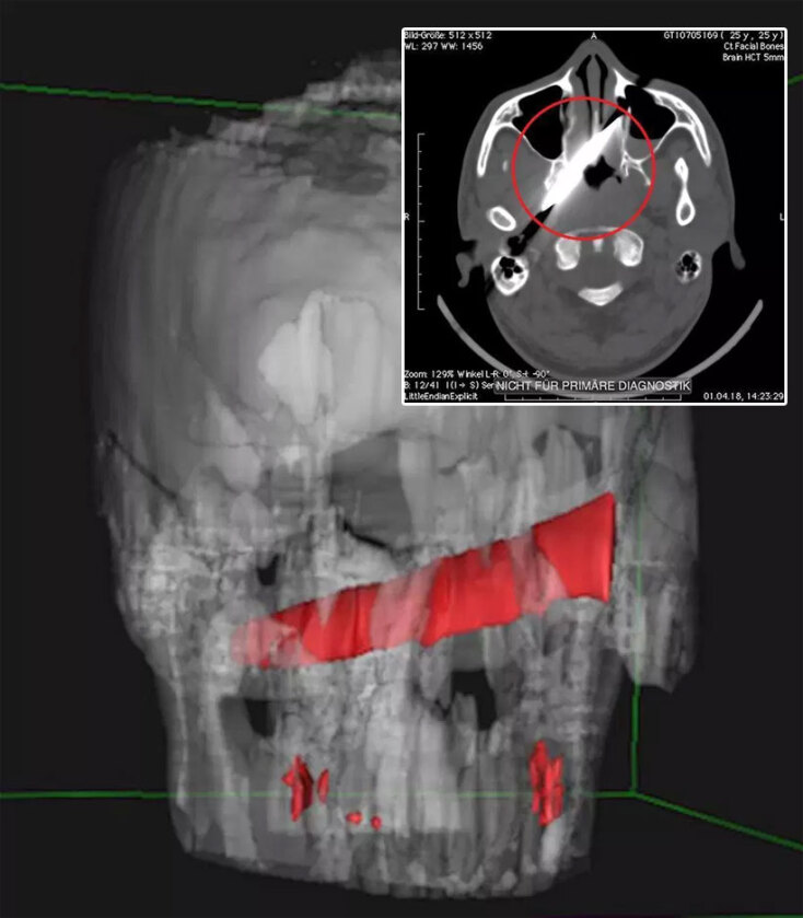
Οι ακτινογραφίες προκάλεσαν ανατριχίλα στους γιατρούς
Δεν μπορούσαν να πιστέψουν αυτό που έβλεπαν οι γιατροί που κλήθηκαν να αντιμετωπίσουν περιστατικό με μαχαίρωμα στη Νότια Αφρική. Οι ακτινογραφίες του κρανίου προκάλεσαν ανατριχίλα.
Μια λεπίδα, μήκους 10 εκατοστών, ήταν καρφωμένη κάτω από το αριστερό μάτι ενός 25χρονου. Η λαβή του μαχαιριού είχε σπάσει, με τη λεπίδα να έχει σφηνωθεί βαθιά σε οστό του κρανίου. Ο 25χρονος τραυματίστηκε σοβαρά κατά τη διάρκεια ενός καβγά με φίλο του, ενώ και οι δύο βρίσκονταν υπό την επήρεια αλκοόλ. Όπως ανέφερε σε δηλώσεις του, μετά τον καβγά πήγε για ύπνο και ξέχασε τι είχε συμβεί, ξυπνώντας στη συνέχεια με έντονους πονοκεφάλους και με οξύ πόνο κάθε φορά που κουνούσε το αριστερό του μάτι.
Θορυβημένος, πήγε σε κλινική του Γκέρμιστον (ανατολικά του Γιοχάνσεμπουργκ) για ακτινογραφίες. Τα αποτελέσματα σήμαναν συναγερμό.
Κρίθηκε απαραίτητη η μεταφορά του σε άλλο νοσοκομείο, το Chris Hani Baragwanath Academic Hospital, στη συνοικία Σοβέτο του Γιοχάνσεμπουργκ, όπου πραγματοποιήθηκαν διαδοχικές συσκέψεις με τη συμμετοχή νευροχειρούργων, γναθοχειρούργων και χειρούργων οφθαλμίατρων, καθώς η περίπτωση του 25χρονου ήταν εξαιρετικά σπάνια.
Το καλό νέο ήταν ότι η λεπίδα δεν είχε προκαλέσει ρήξη μεγάλων αιμοφόρων αγγείων. Το χειρουργείο έγινε τέσσερις ημέρες μετά τον τραυματισμό του άνδρα, με το αιχμηρό αντικείμενο να αφαιρείται με επιτυχία.
Πήγε για ύπνο
Καθ΄ όλη τη διάρκεια της απίστευτης περιπέτειάς του, ο τραυματίας είχε τις αισθήσεις του και συνέχισε να υποφέρει από πονοκεφάλους και έντονους πόνους όταν κουνούσε το αριστερό του μάτι.
«Μετά τον καβγά, πήγα σπίτι και προσπάθησα να καθαρίσω τα αίματα και να πάρω έναν υπνάκο. Οι φίλοι μου εμφανίστηκαν, προσπαθώντας να με πείσουν ότι είχα μαχαιρωθεί. Δεν τους πίστευα μέχρι που είδα τις ακτινογραφίες» τόνισε ο 25χρονος.
«Φανταστείτε να ήταν σφαίρα αυτό που διαπέρασε το κρανίο μου. Θα είχα μείνει στον τόπο» πρόσθεσε, γνωστοποιώντας ότι με τη συμπλήρωση 48 ωρών από το χειρουργείο πήρε εξιτήριο.
Η υπόθεση ήρθε στο φως μετά τη δημοσίευση της ιατρικής ομάδας που τον χειρούργησε, στην επιθεώρηση British Medical Journal Case Reports. Στο κείμενό τους οι χειρούργοι επισημαίνουν ότι «είναι εξαιρετικά σπάνιο να μην υπάρχουν τεράστιες επιπλοκές από την καθυστέρηση απεικόνισης και επέμβασης σε θύματα μαχαιρώματος». Παράλληλα, δίνουν έμφαση στη θεαματική ανάρρωση του ασθενούς έπειτα από έναν τόσο σοβαρό τραυματισμό.
Με πληροφορίες από The Sun/The Times
ΤΑ ΠΙΟ ΔΗΜΟΦΙΛΗ
ΔΙΑΒΑΖΟΝΤΑΙ ΠΑΝΤΑ
ΔΕΙΤΕ ΕΠΙΣΗΣ
Snus και ηλεκτρονικά τσιγάρα παραμένουν δημοφιλή - Aνησυχία στους ειδικούς
Σοκ στη Βρετανία από τελετή Kambo
Χωρίς τραυματισμούς το περιστατικό - Το όχημα αποσύρθηκε άμεσα για τεχνικό έλεγχο
Καθώς τα περιστατικά «χαοτικής συμπεριφοράς» γίνονται όλο και πιο συχνά
Το αεροσκάφος του Τζον Χίλι έχασε το σήμα του κοντά στα ρωσικά σύνορα κατά την επιστροφή του από την Εσθονία
Ο ανώτατος ηγέτης της χώρας πήρε εξιτήριο την 1η Μαρτίου, σύμφωνα με το υπουργείο Υγείας
Η εταιρεία ανέφερε ότι το αεροσκάφος προσγειώθηκε με ασφάλεια
Η τάση συνδέεται με τη γενικότερη άνοδο της κουλτούρας των «kidults»
«Aυτή τη στιγμή η επιδημία μας ξεπερνά σε ρυθμό», δήλωσε ο γενικός διευθυντής του Παγκόσμιου Οργανισμού Υγείας
Ο Αμερικανός πρόεδρος συνδέει τη συμφωνία με το Ιράν με εξομάλυνση σχέσεων με το Ισραήλ
Στο τραπέζι το Στενό του Ορμούζ, το εμπλουτισμένο ουράνιο και η αποδέσμευση κεφαλαίων
«Στην εποχή της AI έχουμε το επείγον χρέος να παραμείνουμε βαθιά ανθρώπινοι», γράφει ο ποντίφικας
H πιο ζεστή ημέρα του Ηνωμένου Βασιλείου εδώ και 80 χρόνια
Οι αρχές του Παρισιού εξετάζουν περισσότερες από 100 καταγγελίες που αφορούν παιδιά ακόμη και τριών ετών
«Θα δούμε τα αποτελέσματα και μετά θα αποφασίσουμε»
«Είναι καταδικασμένος δολοφόνος και τρομοκράτης που διέπραξε ειδεχθή εγκλήματα», ανέφερε η απάντηση του Στέιτ Ντιπάρτμεντ
Οι πρώτες δηλώσεις των επικεφαλής των κομμάτων
Zήτησε να ανοίξουν και πάλι άμεσα στα Στενά του Ορμούζ
«Πίστευε ότι μία δολοφονία είναι απαραίτητη για να σωθεί ο κόσμος»
Έχετε δει 20 από 200 άρθρα.