Ανάρπαστος ο ιατρικός φάκελος για τις πλαστικές της Μέριλιν
Πουλήθηκε σε δημοπρασία στην τιμή των 25.600 δολαρίων
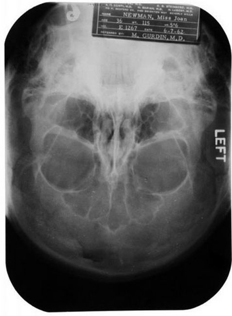
Στην τιμή των 25.600 δολαρίων πουλήθηκε ο ιατρικός φάκελος της Μέριλιν Μονρό, σε δημοπρασία που οργάνωσε ο οίκος Julien’s στο Σαββατοκύριακο στην Καλιφόρνια. Η δημοπρασία συγκέντρωνε προσωπικά αντικείμενα πολλών σταρ του κινηματογράφου καθώς και άλλων προσωπικοτήτων, όπως της Νταϊάνα, της Ελίζαμπεθ Τέιλορ και της Τζούλι Άντριους. Ωστόσο, στο επίκεντρο του ενδιαφέροντος πολλών αγοραστών βρισκόταν ο ιατρικός φάκελος της Μέριλιν, που αποδεικνύει ότι η χολιγουντιανή σταρ είχε υποβληθεί σε πολλές αισθητικές επεμβάσεις σε νεαρή ηλικία.

Ο φάκελος περιείχε πολλές ακτινογραφίες του προσώπου της αλλά και λεπτομέρειες των επεμβάσεων στις οποίες είχε υποβληθεί. Ενδεικτικά, αποκάλυπτε ότι η μεγάλη σταρ είχε κάνει πλαστική στο πηγούνι και στην άκρη της μύτης της το 1950, σε ηλικία 24 ετών, ενώ το 1957 είχε μία εξωμήτρια κύηση.

Άλλα αντικείμενα που πουλήθηκαν στη δημοπρασία ήταν, ένα φουστάνι της σχεδιάστριας Κάθριν Γουόκερ που ανήκε στην πριγκίπισσα Νταϊάνα και πουλήθηκε 75.000 δολάρια, μια βαλίτσα της Γκρέτα Γκάρμπο που έφτασε στα 12.500 δολάρια, και το νυφικό που φόρεσε η Τζούλι Άντριους στην ταινία «Η μελωδία της ευτυχίας», το οποίο πουλήθηκε για 22.500 δολάρια.
Γ.Σ.
ΤΑ ΠΙΟ ΔΗΜΟΦΙΛΗ
ΔΙΑΒΑΖΟΝΤΑΙ ΠΑΝΤΑ
ΔΕΙΤΕ ΕΠΙΣΗΣ
Ποιο πρόσωπο θα βρεθεί στο πλευρό του Παναγιώτη Στάθη
Ήταν έως σήμερα επικεφαλής στη Διεύθυνση Παραγωγής, Τεχνικής Λειτουργίας και Ανάπτυξης της ΕΡΤ3
Το βίντεο ενός δυστυχήματος και αυτά που τραβάνε το ανθρώπινο μάτι
Τι πληροφορίες έδωσε το κανάλι για την «εισβολή» του ηθοποιού στην επιτυχημένη σειρά
Με πρωταγωνίστρια την Έμα Στόουν και ένα αινιγματικό teaser αποκαλύφθηκε το νέο project του Έλληνα σκηνοθέτη
Η οσκαρική ταινία αφηγείται μια φαντασμαγορική ιστορία με βαθιά ανθρώπινα θέματα
Η τηλεοπτική μεταφορά του Ριφιφί του Αιώνα σε ελληνική τράπεζα έρχεται και στην ελεύθερη τηλεόραση
Σε ένδειξη πένθους για τους επτά φίλους του ΠΑΟΚ
Νιώθω ότι είμαι στάσιμος, είπε ο παρουσιαστής
Ποιοι θα βρίσκονται στο πλευρό της
Τι κατήγγειλε στις αρχές ο Αρχιμήδης Καρεκλίδης
Την Δευτέρα στις 21:00 το νέο επεισόδιο
Την είδηση έκανε γνωστή ο αδελφός του, Γιώργος
Πώς προέκυψε η παρουσία της στα βίντεο του «5 minute mum»
Το «ευχαριστώ» του παρουσιαστή
Τι εξομολογήθηκε στην κάμερα του ριάλιτι μαγειρικής
Έπεισε τους κριτές το πιάτο του;
Το χαρακτήρισε «ένα φαγητό του φτωχού σε Michelin επίπεδο»
Έχετε δει 20 από 200 άρθρα.