- CITY GUIDE
- PODCAST
-
17°
Μαγιορκίνης: Ραγδαία αύξηση της «Λευκής Πνευμονίας» - Πιθανότατα να έχει περιστατικά και στην Ελλάδα
Ανησυχητική είναι η αντοχή του μικροβίου στα αντιβιοτικά
Λευκή Πνευμονία - Μαγιορκίνης: Ραγδαία αύξηση της «Λευκής Πνευμονίας» - Πιθανότατα να έχει περιστατικά και στην Ελλάδα
Προβληματισμό και έντονες ανησυχίες έχει προκαλέσει η ραγδαία εξάπλωση της «Λευκής Πνευμονίας» που σαρώνει στην Κίνα, ενώ υπάρχουν αναφορές πως η έξαρση αυτή έχει φτάσει και στην Ευρώπη.
Ο Καθηγητής Επιδημιολογίας Γκίκας Μαγιορκίνης με δηλώσεις στον Ant1 τονίζει ότι το σύνδρομο του «λευκού πνεύμονα», πιθανότατα να έχει περιστατικά και στην Ελλάδα αλλά περισσότερο αυτό που έχει προκαλέσει τις έντονες ανησυχίες τις επιστημονικής κοινότητας είναι η αντοχή του του μικροβίου του μυκοπλάσματος - που ευθύνεται για την «Λευκή Πνευμονία»- στα αντιβιοτικά.
«Όλοι έχουμε έρθει σε επαφή με το μικρόβιο, αλλά κολλάνε όσοι δεν έχουν ισχυρή ανοσία. Δεν έχει σχέση η πανδημία, αλλά έχει να κάνει με το γεγονός ότι δεν έχουμε έρθει σε επαφή με αυτά τα στελέχη», επεσήμανε ο καθηγητής επιδημιολογίας.
Tα συμπτώματα της «Λευκής Πνευμονίας»
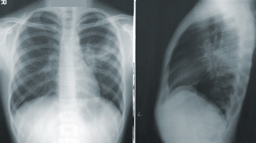
Όπως τόνισε ο κ. Μαγιορκίνης η αποκαλούμενη και περιπατητική πνευμονία έχει αρκετά ήπια συμπτώματα και εμφανίζεται απλά με πυρετό, ωστόσο η ακτινογραφία όπως είπε δείχνει ότι ο πνεύμονας έχει δημιουργήσει πνευμονικά οζίδια.
Τέλος επεσήμανε ότι το εμβόλιο του πνευμονιόκοκκου στους ενήλικες βοηθά στην καλύτερη αντιμετώπιση του μικροβίου του μυκοπλάσματος και στην αποφυγή μιας πνευμονίας.
Για τον κορονοϊό μίλησε ο καθηγητής Επιδημιολογίας
Σε ότι αφορά τον κορονοϊό, ο κ. Μαγιορκίνης υπογράμμισε ότι «βρισκόμαστε σε υψηλό πλατό, υπάρχει αρκετή κυκλοφορία του κορονοϊού, υπήρχε μικρή πτώση τις προηγούμενες 2 εβδομάδες, αλλά αυξάνει πάλι σιγά σιγά, λόγω πτώσης θερμοκρασίας καθώς κλείστηκε ο κόσμος σε κλειστούς χώρους και συγχρωτίστηκε. Το βλέπουμε και σε νοσηλείες σε απλές κλίνες και σε ΜΕΘ αλλά δεν είναι κάτι ανησυχητικό».
ΤΑ ΠΙΟ ΔΗΜΟΦΙΛΗ
ΔΙΑΒΑΖΟΝΤΑΙ ΠΑΝΤΑ
ΔΕΙΤΕ ΕΠΙΣΗΣ
Ισχυρή κινητοποίηση της Πυροσβεστικής
Δείτε το σημερινό σκίτσο
Αναλυτική πρόγνωση από την ΕΜΥ
Το Κεντρικό Λιμεναρχείο διενεργεί την προανάκριση
Αισθάνθηκε έντονες ενοχλήσεις στο γαστρεντερικό
Υπενθυμίζεται ότι ο ΕΦΕΤ έχει ήδη απαιτήσει την άμεση ανάκληση του συνόλου της συγκεκριμένης παρτίδας
Ο καιρός το Σαββατοκύριακο ωστόσο αναμένεται να είναι βελτιωμένος
Τι αναφέρουν οι πρώτες πληροφορίες
Ποιο είναι το κόστος;
Τον εντόπισε ο ξάδερφός του
Τι αναφέρουν οι πρώτες πληροφορίες
Έχετε δει 20 από 200 άρθρα.