- CITY GUIDE
- PODCAST
-
16°
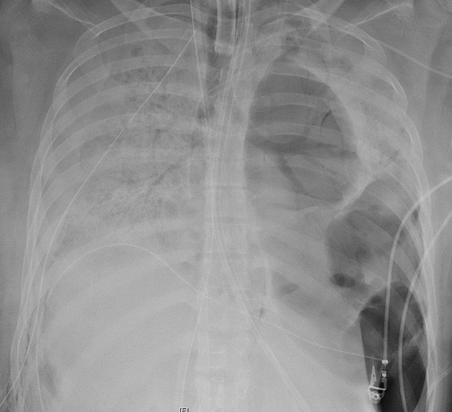
ΗΠΑ: Διπλή μεταμόσχευση πνευμόνων σε 20χρονη με κορωνοϊό (εικόνες)
«Ήταν η μοναδική ευκαιρία της να επιβιώσει»
ΗΠΑ: Διπλή μεταμόσχευση πνευμόνων σε μια 20χρονη βαριά ασθενή από τη νόσο Covid-19.
Μια 20χρονη, οι πνεύμονες της οποίας καταστράφηκαν «ανεπανόρθωτα» από τη νόσο Covid-19, υποβλήθηκε σε διπλή μεταμόσχευση πνευμόνων στο Σικάγο. «Η μεταμόσχευση πνευμόνων ήταν η μοναδική ευκαιρία της να επιβιώσει», δήλωσε η Έινκιτ Μπάρατ, η επικεφαλής της μονάδας θωρακοχειρουργικής στο νοσοκομείο Northwestern του Σικάγο, σε δελτίο Τύπου που εκδόθηκε μετά την επέμβαση.
Πρόκειται προφανώς για την πρώτη μεταμόσχευση αυτού του είδους στις ΗΠΑ, όχι όμως στον κόσμο, καθώς Κινέζοι γιατροί έκαναν διπλή μεταμόσχευση τον Μάρτιο.
Η ασθενής είναι μια ισπανόφωνη γυναίκα, που δεν αντιμετώπιζε κατά το παρελθόν προβλήματα υγείας, σύμφωνα με το νοσοκομείο, όμως νόσησε βαριά από τον νέο κορωνοϊό, σε βαθμό που χρειάστηκε να νοσηλευτεί 6 εβδομάδες στη μονάδα εντατικής θεραπείας.
«Για πολλές ημέρες, υπήρξε η πιο βαριά ασθενής στη μονάδα εντατικής θεραπείας Covid και πιθανόν σε ολόκληρο το νοσοκομείο», εξηγεί η Μπεθ Μάλσιν, πνευμονολόγος στο Northwestern. Ωστόσο, χρειάστηκε να περιμένουν για να γίνει η μεταμόσχευση, προκειμένου η ασθενής να βγει αρνητική στον κορωνοϊό.
«Πώς μια γυναίκα με καλή υγεία, ηλικίας περίπου 20 ετών, έφθασε σε αυτήν την κατάσταση; Έχουμε ακόμη να μάθουμε τόσα πολλά για τη Covid-19», συμπλήρωσε ο πνευμονολόγος Ρέιντ Τόμικ.
Πηγή: ΑΠΕ-ΜΠΕ
ΚΟΡΩΝΟΪΟΣ: Live updates - Τι πρέπει να ξέρουμε για τον κορωνοϊό- Συνεχής ενημέρωση εδώ
ΤΑ ΠΙΟ ΔΗΜΟΦΙΛΗ
ΔΕΙΤΕ ΕΠΙΣΗΣ
Το μυαλό τρέχει σε σκέψεις και αρνητικά σενάρια κι εμείς βουλιάζουμε σαν να βρισκόμαστε σε μια κινούμενη άμμο
Δεν είναι σεξιστικό το ζήτημα, αλλά αφορά τη διαφορετική λειτουργία του οργανισμού των δύο φύλων
Συνομιλία με τον γιατρό-διδάκτορα Ιστορίας και Φιλοσοφίας της Επιστήμης Γιώργο Μπούτλα
Υπολογίζεται ότι το 5% του παγκόσμιου πληθυσμού υποφέρει από αυτό
Η μετάδοση του ιού γίνεται κυρίως μέσω σωματικών υγρών
Αν είσαι γυναίκα, τα αθλητικά σου παπούτσια έχουν πρόβλημα και ίσως το είχες καταλάβει
Δύο οπτικές από την Gilead Sciences: Πώς η ιατρική επιστήμη και η επικοινωνία γίνονται σύμμαχοι στη μάχη κατά του κοινωνικού φόβου
Ναι, το ''δωράκι'' που κρύβει η πρώτη πάνα αποκαλύπτει πολλά περισσότερα απ΄όσα ξέραμε μέχρι σήμερα
Πώς η σαρκοπενία οδηγεί σε μειωμένη ενέργεια και κινητικότητα
Ανοίγει τον διάλογο για τον εμβολιασμό κατά του ιού των ανθρωπίνων θηλωμάτων
Πρωτοποριακές, πολυλειτουργικές πλατφόρμες απεικόνισης
Στη Μαδρίτη, με Έλληνα ογκολόγο μεταξύ των συμμετεχόντων
Ταινία μικρού μήκους για τις σπάνιες παθήσεις
Τι έδειξε πρόσφατη μελέτη
Ο πρώτος παράγοντας είναι ο κιρκάδιος ρυθμός, το εσωτερικό μας ρολόι
Οι δεξιότητες που παραμένουν αποκλειστικά ανθρώπινες
Ο δεκάλογος του αποκλεισμού και της ευαλωτότητας
5 & 6 Δεκεμβρίου στο Γ.Ν.Α. Κοργιαλένειο – Μπενάκειο Ε.Ε.Σ., «Δρακοπούλειο» Αμφιθέατρο Ψυχιατρικού Τομέα
Εθνικός στόχος η ενίσχυση της γονιμότητας και του δημογραφικού - Γεννήθηκαν 3 νέες ζωές
Η επιστήμη εξηγεί: ο καλύτερος τρόπος να παραμείνεις υγιής και δραστήριος όσο μεγαλώνεις είναι να… σηκώνεις βάρη
Έχετε δει 20 από 200 άρθρα.